Prevención en los implantes dentales, Conferencia en Sepes Bilbao

Prevención en los implantes dentales, Conferencia en Sepes Bilbao

Gran éxito de la Dra. Ana Marcos y la higienista Marian Álvarez, miembros del equipo del Dr. Ion Zabalegui, en la conferencia “Prevención en los implantes dentales. Influencia del diseño de la prótesis en el mantenimiento de la salud periimplantaria” que presentaron...
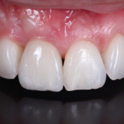
Sustitución urgente de incisivo: Tratamiento del mes

Sustitución urgente de incisivo: Tratamiento del mes

Sustitución de incisivo Esta paciente acudió a nuestra clínica buscando solucionar un problema dental y con toda la ilusión de poner fecha a uno de los días más importantes de su vida, su boda.  Paciente joven con fracaso de un incisivo central que necesitaba...