Tratamiento de la recesión de encías

Tratamientos de estética periodontal
La recesión de encías y su tratamiento
El Doctor Ion Zabalegui es pionero en el desarrollo de técnicas de microcirugía para el tratamiento de la recesión de encías. Los resultados consiguen un gran cambio estético, todo ello mediante una técnica sencilla e indolora.
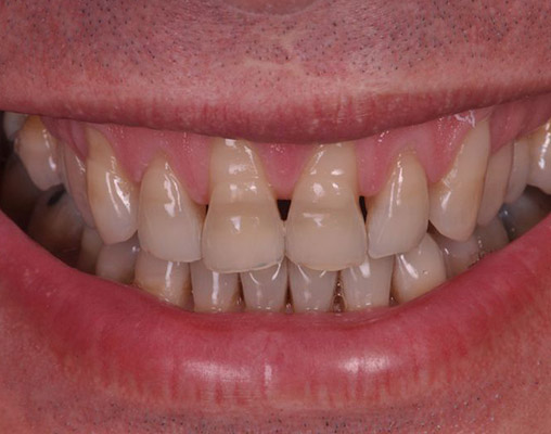
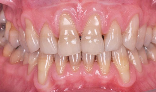
Uno de los motivos de consulta más habituales relacionados con la estética de la sonrisa es observar que las encías están más subidas (en los superiores) o encías bajas (en los dientes inferiores) lo que se denomina recesión de encías.
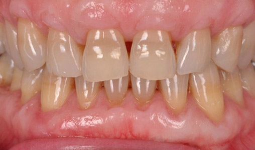
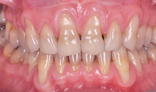
El efecto estético son dientes de apariencia largos que los dientes contiguos. Esta recesión puede además acompañarse de sensibilidad al frío y al calor, inflamación de esa zona de las encías y dolor a la masticación o al cepillado.
La causa de la recesión de encías más habitual viene derivada de un cepillado inadecuado, ya sea por exceso o cepillado demasiado intenso, o por defecto, presentando inflamación bacteriana que puede resultar en recesión de encías.
Estética dental y periodontal
Tratamiento de la recesión de encías
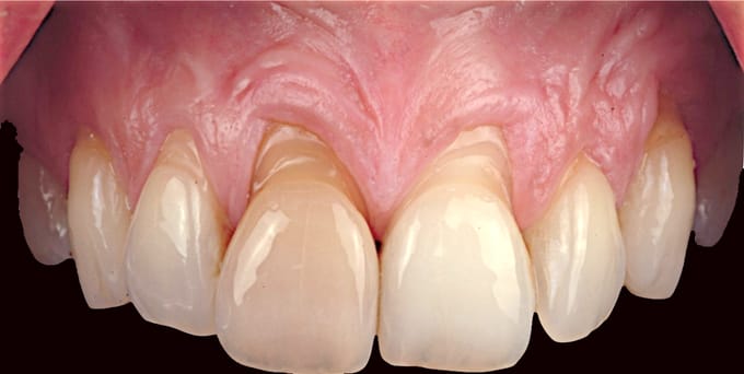
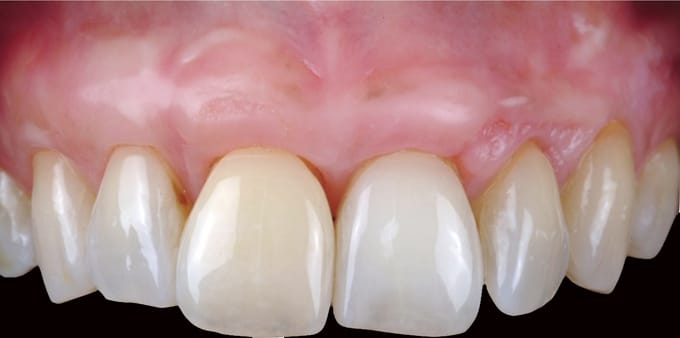
El tratamiento tiene como objetivo identificar y eliminar la causa de la recesión así como cubrir la recesión. Es una técnica de microcirugía sencilla e indolora que se denomina injerto de tejido conectivo del paladar.
El éxito del tratamiento está relacionado con la causa que la originó, y con la técnica que se utilice para cubrir la recesión. Así, los estudios relacionados con ello indican que los tratamientos con injertos obtenidos de la mucosa masticatoria palatina del propio paciente obtienen el mayor índice de éxito, tanto por el nivel de recubrimientos conseguido como por el número de dientes que consiguen un recubrimiento total de su raíz expuesta.
Nosotros, somos pioneros y describimos en el año 1999 la técnica encaminada al recubrimiento de las raíces expuestas en múltiples dientes adyacentes. En la actualidad, la incorporación de proteínas regenerativas derivadas del esmalte (EMDOGAIN®) añadidas al tratamiento con injertos de tejido conectivo están revelando resultados incluso superiores a los conseguidos únicamente con el injerto de mucosa del paladar. Se trata de técnicas de periodoncia avanzada que también utilizamos en algunos casos complejos de colocación de implantes dentales.
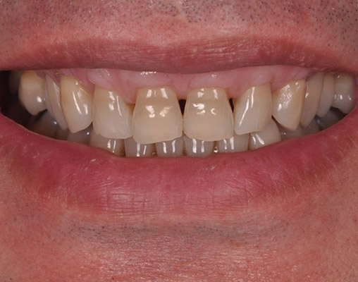
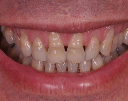
Tratamiento con injertos del paladar «Ad Modum» descrito por Zabalegui y cols, realizado a paciente que presenta dientes muy largos y quiere verse con dientes de tamaño normal.



