Paciente que acude refiriendo sangrado de las encías al cepillado, separación reciente de los dientes. En la fotografía 1, antes de tratamiento, las encías muestran inflamación y enrojecimiento. Después de una exploración periodontal, incluyendo pruebas microbiológicas, se diagnosticó una periodontitis avanzada.
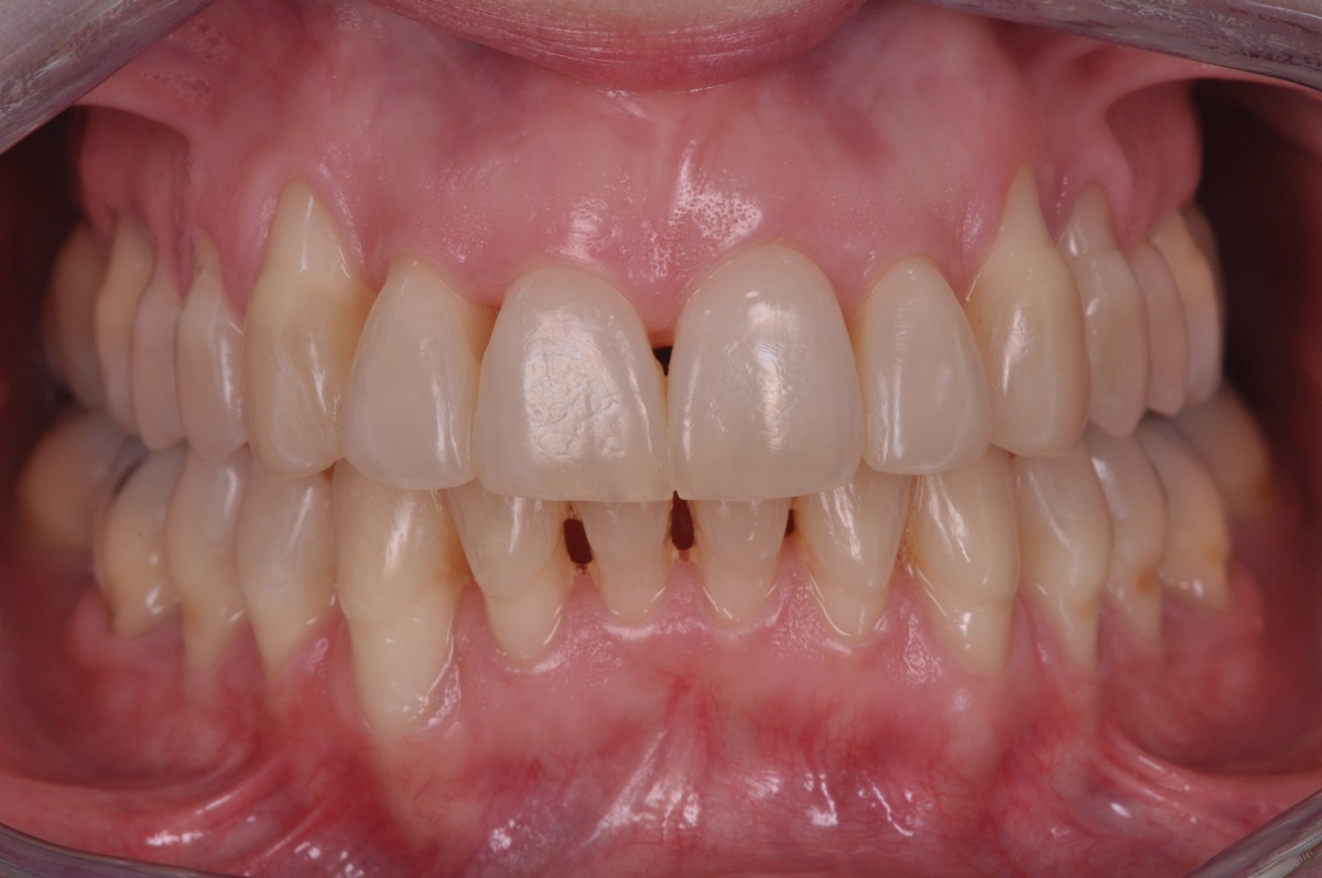
En la fotografía 2 se aprecia el resultado después realizar tratamiento encaminada a curar la infección y reposicionar los dientes, mediante tratamiento regenerativo avanzado, antibiótico específico, y ortodóncico.
Este tratamiento ofrece la mejora del pronóstico de sus dientes y una estética satisfactoria que ha devuelto la sonrisa a nuestra paciente.
- Fotografía 1
- Fotografía 2




