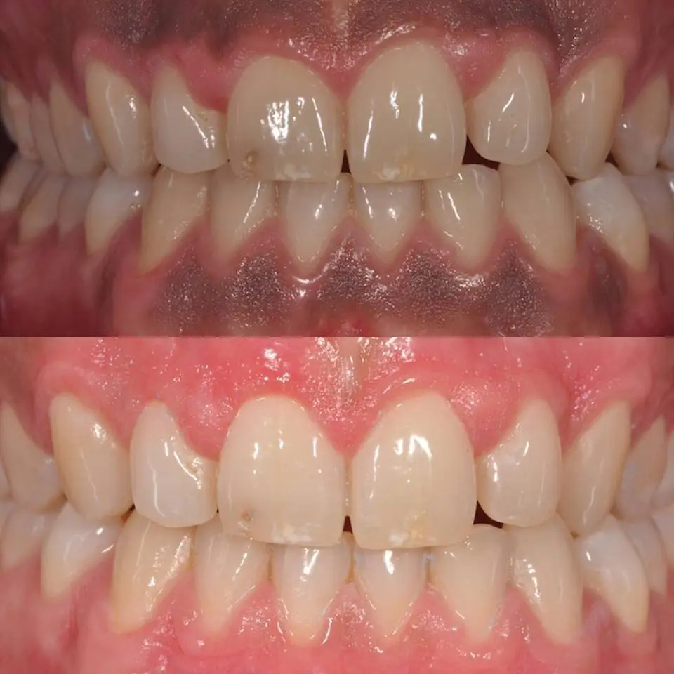
Antes y después MELANOSIS GINGIVAL. La melanosis gingival es una condición en la que las encías están oscurecidas por un exceso de melanina. No supone ningún problema para la salud, pero puede suponer un problema estético para determinados pacientes. Tiene una solución sencilla. ¡pregúntanos!



