Un gran privilegio para el Dr. Ion Zabalegui y todo su equipo, contar en sus instalaciones de la Clínica con la Dra. Eva Berroeta, para dar en exclusiva un curso sobre erosiones dentales y apnea.
La relación entre la dieta rica en fruta y verdura con un cepillado inadecuado y erosivo, puede conllevar un excesivo desgaste del esmalte con la aparición de destrucciones de las estructuras dentarias que afectan no solo a la capacidad masticatoria sino también al aspecto envejecido de la sonrisa.
Gracias a los nuevos materiales y a las nuevas técnicas de las que se dispone en la actualidad se pueden realizar tratamientos mínimamente invasivos con magníficos resultados a nivel estético y funcional, muchas veces con la colaboración del propio Dr. Ion Zabalegui como especialista en técnicas de microcirugía sencilla e indolora que mejora notablemente la estética, consiguiendo un resultado natural.
Esto se debe complementar con cambios en los hábitos y rutina de higiene oral, tomando una serie de medidas que reduzcan significativamente el impacto de un medio oral altamente sensible a la erosión en función del tipo de dieta de cada paciente.
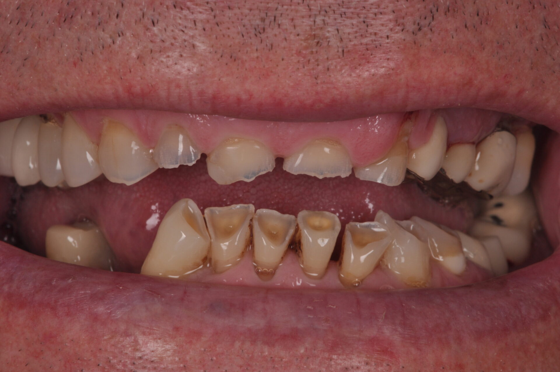
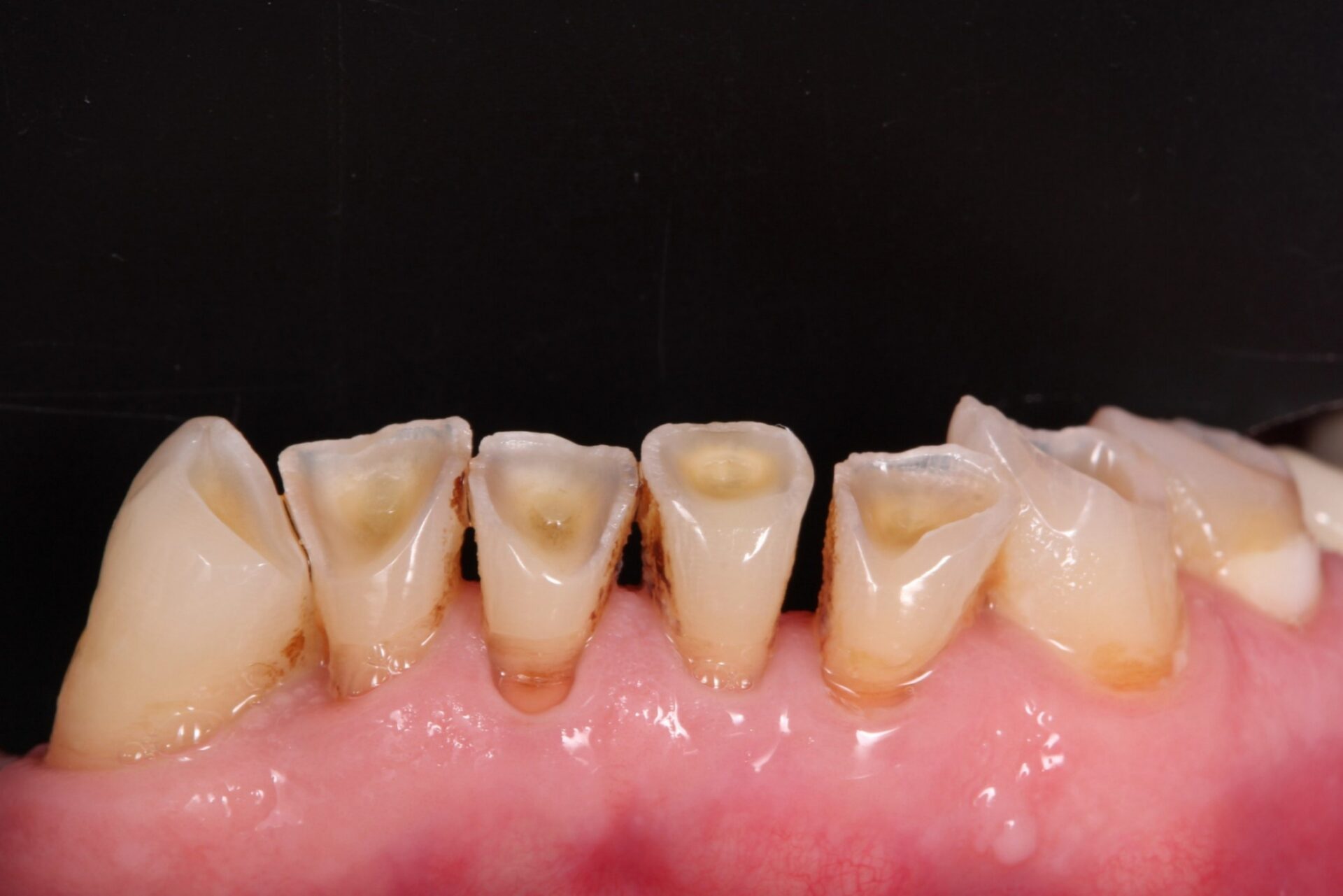
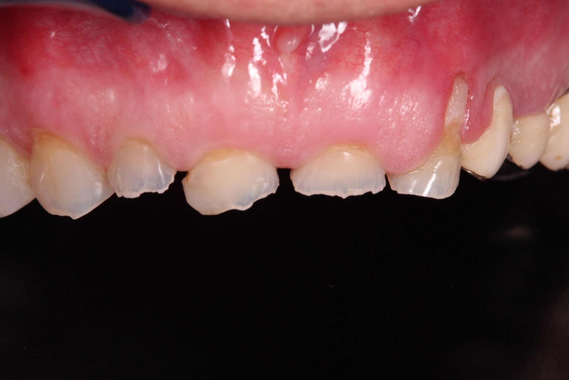
Ejemplo de un caso en paciente con erosiones:
- Antes – Superior
- Antes – Inferior
- Antes
- Después (Cortesía Dra. Eva Berroeta)

