Tratamiento regenerativo
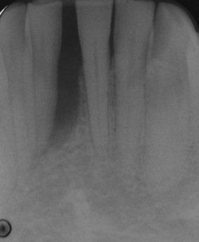
En la radiografía 1 (antes del tratamiento regenerativo) se ve una gran pérdida de hueso alrededor del incisivo inferior (espacio oscuro alrededor de la raíz), provocando prácticamente la caída del diente. El paciente acude a nuestra consulta a solicitar una segunda opinión, ya que la valoración anterior, dado el mal pronóstico del diente, propuso la extracción del mismo.
Siete años después del tratamiento regenerativo, tal y como se aprecia en la radiografía 2, el incisivo ha recuperado el hueso perdido (raíz rodeada de nuevo hueso) y sigue en la boca y con un pronóstico muy favorable. El paciente está muy satisfecho de seguir disfrutando de su diente.
- Radiografía 1
- Radiografía 2



