Después de varios años realizando la Microcirugía Periodontal Estética en nuestra clínica, hemos decidido incluirlo dentro de nuestros paquetes de tratamientos dirigido a la estética periodontal, debido a su carácter de innovador y a la aceptación y buena acogida que ha tenido entre nuestros pacientes.
Este procedimiento busca principalmente corregir deformidades que puedan ocurrir en la encía como consecuencia de diferentes eventos destructivos, por motivos infecciosos, traumáticos o extracciones dentarias.
Si desea ampliar sus conocimientos sobre dicho procedimiento y conocer los beneficios que puede aportar a los pacientes puede dirigirse al nuestros sección de tratamientos o ir directamente a la página a través del siguiente link: https://www.ionzabalegui.com/microcirugia-periodontal-estetica/
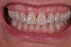
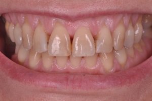
- Antes
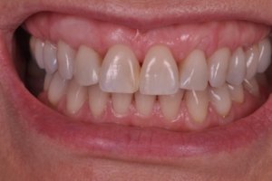
- Después



