Sustitución de incisivo
Esta paciente acudió a nuestra clínica buscando solucionar un problema dental y con toda la ilusión de poner fecha a uno de los días más importantes de su vida, su boda.
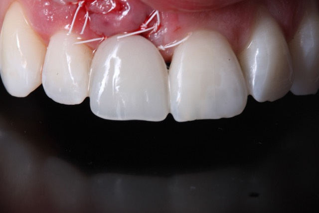
Paciente joven con fracaso de un incisivo central que necesitaba sustituir con urgencia al querer fijar la fecha de su boda. Estaba muy desanimada porque le habían pronosticado varios años de tratamiento para llegar al objetivo de sustitución del diente, sin embargo, gracias a este tratamiento multidisciplinario y compartido con la Dra. Eva Berroeta y el técnico Javier Pérez, se resolvió el problema en poco más de seis meses.
Es para nuestro equipo realmente satisfactorio saber que hemos aportado a su bienestar y a poder cumplir uno sus sueños, y ser testigos de la felicidad y la preciosa sonrisa que la han acompañado el día de su boda ¡Muchas felicidades para nuestra paciente y su pareja.

