El Dr. Ion Zabalegui ha impartido una sesión sepa online SEPA (Sociedad Española de Periodoncia) sobre las ventajas del uso de proteínas derivadas del esmalte en la cirugía regenerativa periodontal y en el tratamiento quirúrgico de los defectos muco-gingivales.
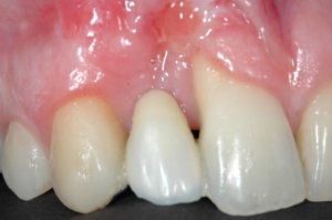
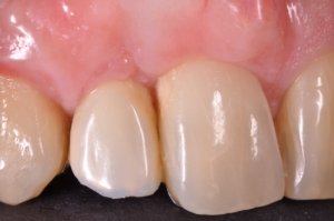
El Dr. Zabalegui y su equipo llevan más de 25 años años realizando tratamientos de cirugía regenerativa periodontal para mejorar el pronóstico de los dientes. Esto le permite al paciente no perder sus piezas dentarias, es decir, alargar la vida de sus dientes. Mediante este tratamiento y el uso de proteínas regenerativas, se puede recuperar parte de hueso perdido por la enfermedad periodontal.
Esta técnica lleva años implantada, con numerosos estudios científicos que la avalan. Es una técnica micro invasiva que le resulta fácil y nada traumática al paciente, obteniendo unos resultados muy satisfactorios.
- Antes
- Después



