Injerto de tejido conectivo
Esta paciente acude para consultar la exposición de la raíz que presenta en los incisivos inferiores. Ha estado vigilando la situación durante años, pero ella considera que ha aumentado más.
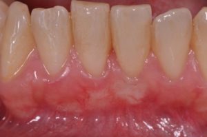
El incisivo inferior presenta una “recesión” (retracción de la encía) de 6mm. Esto no supone un motivo de pérdida dentaria,(Foto 1) pero la paciente no consigue mantener una adecuada higiene oral en la zona por molestia al existir ausencia de encía queratinizada (encía capaz de soportar el cepillado sin dolor).
Se le realizó tratamiento desinflamatorio de toda la boca, apreciándose una gran mejoría (Foto 2) aunque la paciente refería dificultades para mantener la zona en adecuadas condiciones higiénicas.
Para facilitar el cepillado de la paciente y también por motivos estéticos se le realizó un injerto de tejido conectivo consiguiendo un recubrimiento completo de la raíz. (Foto 3)
De esta forma hemos cubierto satisfactoriamente tanto las necesidades higiénicas como estéticas de la paciente.

Foto 1

Foto 2

Foto 3